Tópicos: Sociedad | Salud

Hombre se cayó y descubrió que su pene se estaba convirtiendo en hueso

Publicado:
Autor: Redacción Cooperativa

El caso es rarísimo y fue detectado gracias a un duro golpe en la rodilla izquierda.

Hombre se cayó y descubrió que su pene se estaba convirtiendo en hueso
contenido de servicio
Llévatelo:

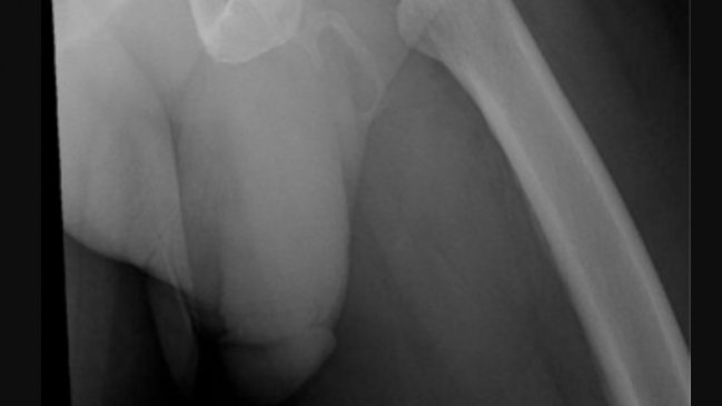
Un hombre de 63 años acudió al servicio de emergencias del Lincoln Medical and Mental Health Center del Bronx por un fuerte dolor en la rodilla izquierda después de una caída. Esa visita reveló una inesperada y rarísima enfermedad.

El paciente, con antecedentes de alcoholismo, fue encontrado sano por los médicos que lo examinaron del golpe en su articulación. Sin embargo, el adulto mayor les dijo que sentía molestias en el pene, por lo que le realizaron una radiografía pélvica.

Los resultados mostraron que el miembro se le estaba convirtiendo en hueso y se veía nítida en los rayos x. Tan extraña es esta patología que fue publicada en la revista Urology Case Reports. 

"La osificación del pene, una condición rara, se ha relacionado con la enfermedad de Peyronie. La osificación se lleva a cabo generalmente en la mitad del eje del pene con pocos casos en todo el eje, como en éste", dice el estudio.

Hay menos de 40 casos en el mundo de esta enfermedad, que consiste en la calcificación de los tejidos blandos. La placa endurecida reduce la flexibilidad y provoca una curvatura durante la erección, lo que redunda en disfunción eréctil.

"Nuestro paciente presentaba una fase aguda de su enfermedad debido a la presencia de dolor en el pene", dijeron los médicos. El tratamiento depende de la extensión de esta condición y de los síntomas del paciente.

Lamentablemente, el sujeto no escuchó a los médicos y no seguirá ningún tratamiento, por lo que el dolor y los síntomas antes mencionados serán cada vez peores.

LEER ARTICULO COMPLETO

Suscríbete a nuestro newsletter