Tópicos: Sociedad | Salud

Hombre sufrió grave inflamación de sus testículos: Tenían el tamaño de una pelota de fútbol

Publicado:
Autor: Redacción Cooperativa

El extraño caso se debió a mal higiene, según un estudio publicado en una revista científica.

Hombre sufrió grave inflamación de sus testículos: Tenían el tamaño de una pelota de fútbol
contenido de servicio
Llévatelo:

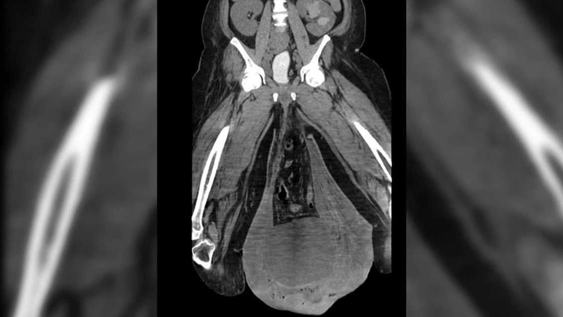
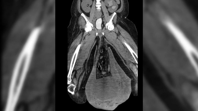
Un hombre de 43 años fue víctima de un extraño caso médico en que sus testículos se hincharon al punto de quedar del tamaño de pelotas de fútbol o de básquetbol.

El caso de este panameño fue publicado en la revista Urology Case Reports, donde los especialistas detallaron que el sujeto no visitó al doctor en 30 años.

El hombre había sido hospitalizado con fiebre y dolores cuando reveló su preocupante hinchazón: su escroto pesaba más de 3 kilos y le impedía hacer cualquier cosa con normalidad.

Los médicos determinaron que tenía una grave infección bacterial en los genitales debido a mala higiene.

Ante ello, tuvieron que someterlo a cirugía plástica en la zona, cortando todo lo que sobraba. Dos días después fue dado de alta y con sus genitales funcionando normalmente.

 

LEER ARTICULO COMPLETO

Suscríbete a nuestro newsletter