Mujer se contagió con extraña bacteria que le "come" los genitales

Publicado:
Autor: Redacción Cooperativa

Se trata de una enfermedad de trasmisión sexual que rara vez se da fuera de países tropicales.

Mujer se contagió con extraña bacteria que le
 CDC
contenido de servicio
Llévatelo:

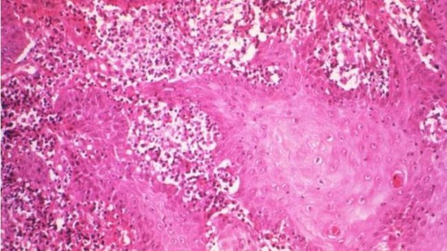
Una extraña enfermedad de transmisión sexual se detectó por primera vez en Reino Unido con el caso de una mujer con donovanosis.

La bacteria, llamada también granuloma inguinal, devora los genitales mediantes úlceras que producen que la piel de la ingle se consuma a sí misma.

Del mismo modo, se puede contraer en los labios, las encías, las mejillas y la garganta.

Lo más llamativo del caso es que usualmente la enfermedad se transmite en países con clima tropical.

No obstante, ahora se conocen tres casos en Reino Unido, con pacientes entre 15 y 25 años.

El investigador Shamir Patel dijo a medios ingleses que "es una afección muy rara y desagradable (...) Aunque los antibióticos pueden tratar la donovanosis, los casos en su etapa inicial podrían no diagnosticarse porque es muy poco frecuente".

"Cualquier retraso podría causar que la carne alrededor de los genitales literalmente se pudra", explicó.

LEER ARTICULO COMPLETO

Suscríbete a nuestro newsletter