Estudio PUCV demostró que rayos X más inteligencia artificial pueden diagnosticar el Covid

Publicado:
Autor: Redacción Cooperativa

"Esta herramienta es no invasiva, de bajo costo, de fácil acceso y se puede aplicar con rapidez", destacaron los investigadores porteños.

Surge como una alternativa para sectores donde no existe acceso ni infraestructura para aplicar exámenes PCR.

Estudio PUCV demostró que rayos X más inteligencia artificial pueden diagnosticar el Covid
 Pixabay (Referencial)

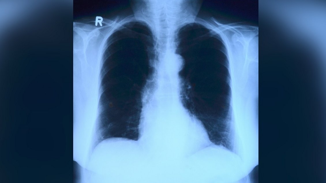
El estudio demuestra que las imágenes de rayos X combinadas con técnicas de inteligencia artificial son una alternativa eficaz para diagnosticar Covid-19, explicó la Universidad Católica de Valparaíso.

contenido de servicio
Llévatelo:

Una investigación liderada por el Centro de Data Science de la Escuela de Ingeniería Industrial de la Pontificia Universidad Católica de Valparaíso demostró que el machine learning (herramienta de inteligencia artificial de aprendizaje automático) aplicado a radiografías de tórax es capaz de diagnosticar con certeza el Covid-19.

El estudio, desarrollado junto a la Clínica MEDS (Sports Medicine Data Science Center MEDS-PUCV) evaluó las capacidades de las técnicas de aprendizaje automático para diagnosticar, mediante análisis computarizado, casos de coronavirus a partir de imágenes de rayos X.

Según señala en sus conclusiones -que fueron publicadas en la revista científica Signa Vitae, perteneciente al ISI web of Science (ver archivo adjunto)- esta técnica es capaz de diferenciar entre pacientes con Covid-19, personas sanas y pacientes con neumonía con una alta precisión (hasta un 90 por ciento), a bajo costo, y con infraestructura computacional sencilla y básica, lo que podría impactar positivamente en sectores donde no existe acceso ni infraestructura para el diagnóstico con PCR.

MÉTODO

Mediante un comunicado, la casa de estudios explicó que la investigación se basó en radiografías de tórax de personas de 26 países, disponibles en un repositorio público de datos.

Incluyó un experimento estadístico diseñado para verificar si herramientas de aprendizaje automático, como máquinas de soporte vectorial y bosques aleatorios, detectaban pacientes Covid-19 positivos entre diferentes imágenes de rayos X de pacientes sanos, con neumonía y con coronavirus. "¿El resultado? Hasta un 90 por ciento de sensibilidad y especificidad en el diagnóstico", destacó a PUCV. 

Imagen foto_00000001
Al procesar radiografías de tórax, el machine learning es capaz de detectar con alta precisión qué pacientes presentan Covid-19 y cuáles no.

ALTERNATIVA AL PCR

"Proponemos usar radiografías de tórax y machine learning para crear una herramienta de diagnóstico alternativa al PCR y a otras metodologías de deep learning. Esta herramienta es no invasiva, de bajo costo, de fácil acceso y se puede aplicar con rapidez si se tiene una capacidad tecnológica y computacional relativamente simple, a diferencia del PCR que es invasiva, más costosa y toma días en dar resultados", destacó Víctor Leiva, profesor e investigador de la Escuela de Ingeniería Industrial de la PUCV y uno de los coautores de este estudio.

"En particular, la herramienta podría ser útil para la variante Delta del Covid-19, cuyos síntomas han demostrado ser más sensibles a los rayos X", añadió Leiva.

El artículo científico -que se puede consultar online- tiene también como coautores al profesor e investigador Felipe Feijoo, a los ex alumnos Nicolás Bustos y Manuel Tello, y a los investigadores de la Clínica MEDS Guillermo Droppelmann y Nicolás García.

LEER ARTICULO COMPLETO

Suscríbete a nuestro newsletter